preventivehealth.cl

Doppler del Ductus Venoso y Arteria Umbilical: guía para detectar riesgo fetal temprano

  • Inicio
  • -
  • Ecografias
  • -
  • Doppler del Ductus Venoso y Arteria Umbilical: guía para detectar riesgo fetal temprano
Doppler del Ductus Venoso y Arteria Umbilical: guía para detectar riesgo fetal temprano

El Doppler del ductus venoso y arteria umbilical es una herramienta diagnóstica avanzada que permite evaluar de manera precisa la circulación sanguínea del feto y la placenta. Gracias a esta técnica, los especialistas pueden identificar alteraciones en el flujo que indiquen riesgo fetal o disfunción placentaria, mucho antes de que existan signos clínicos evidentes. En el ámbito de la medicina fetal moderna, su valor es incuestionable, ya que proporciona información vital para la prevención, el diagnóstico precoz y el manejo de embarazos de alto riesgo.

En Preventive Health, la evaluación mediante Doppler se realiza con equipos de alta resolución y personal altamente capacitado, garantizando resultados confiables y una atención personalizada. A continuación, exploraremos cómo funciona esta tecnología, qué significan los hallazgos más importantes y cómo su interpretación puede salvar vidas.

El Doppler fetal es una modalidad de la ecografía obstétrica que utiliza ondas sonoras de alta frecuencia para analizar la velocidad y dirección del flujo sanguíneo en los vasos del feto y la placenta. A diferencia de la ecografía tradicional, que muestra únicamente imágenes anatómicas, el Doppler evalúa la dinámica hemodinámica fetal, es decir, cómo circula la sangre dentro del cuerpo del bebé en desarrollo.

Su principal objetivo es determinar si el feto recibe suficiente oxígeno y nutrientes desde la placenta, lo cual resulta esencial para su crecimiento y bienestar. Mediante este estudio, el especialista puede analizar vasos específicos, entre ellos el ductus venoso y la arteria umbilical, ambos determinantes para conocer la condición cardiovascular y metabólica del feto.

Principio físico del Doppler fetal

El fundamento de esta técnica se basa en el efecto Doppler, descrito por el físico austríaco Christian Doppler en el siglo XIX. Este fenómeno se produce cuando las ondas sonoras emitidas por el transductor rebotan sobre estructuras en movimiento, como los glóbulos rojos. Al cambiar la frecuencia de las ondas reflejadas, el equipo puede calcular la velocidad y dirección del flujo sanguíneo.

En el caso del feto, este principio se traduce en gráficas y espectros de color que representan los movimientos del flujo sanguíneo dentro de los vasos. Los equipos de ultrasonido modernos transforman esa información en imágenes bidimensionales y tridimensionales, que permiten observar en tiempo real cómo circula la sangre a través del cordón umbilical, la placenta y el corazón del bebé.

¿Cuáles son las aplicaciones del Doppler en la circulación fetal?

Durante el embarazo, la circulación fetal difiere de la del recién nacido, ya que el feto no utiliza los pulmones para oxigenarse. En su lugar, la placenta cumple esa función vital. Gracias al Doppler, los médicos pueden estudiar las rutas específicas por las que fluye la sangre oxigenada desde la madre hasta el feto.

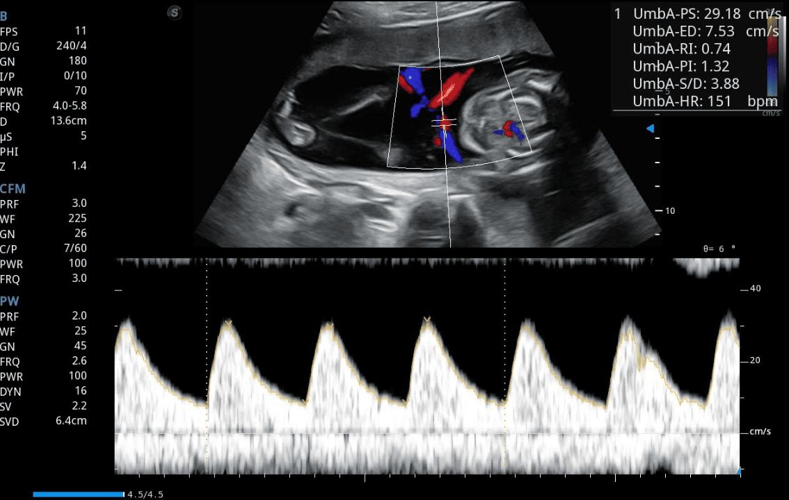
Dos estructuras son esenciales en este proceso: el ductus venoso, que actúa como vía de paso directo hacia el corazón fetal, y la arteria umbilical, que refleja la resistencia de la placenta. Analizar ambas permite detectar de manera temprana alteraciones en la oxigenación, perfusión y crecimiento del bebé, especialmente en embarazos complicados por preeclampsia, diabetes gestacional o restricción del crecimiento intrauterino (RCIU).

Ductus venoso y arteria umbilical: pilares del diagnóstico hemodinámico fetal

Doppler del ductus venoso fetal con espectro de ondas S, D y a para evaluar función cardiovascular y bienestar fetal

El ductus venoso y la arteria umbilical son los principales indicadores del bienestar fetal cuando se evalúan mediante Doppler. Cada uno tiene una función específica, pero su análisis conjunto ofrece una visión integral del estado circulatorio del feto y la eficiencia placentaria.

Ductus venoso: su función y significado clínico​

El ductus venoso es un pequeño vaso sanguíneo que conecta la vena umbilical con la vena cava inferior del feto. Su función consiste en conducir la sangre oxigenada proveniente de la placenta directamente hacia el corazón, garantizando un aporte óptimo de oxígeno al cerebro y otros órganos vitales.

Cuando el flujo en este vaso presenta irregularidades, puede ser un signo de disfunción cardíaca fetal, restricción del crecimiento, o incluso alteraciones cromosómicas en etapas tempranas del embarazo.

Ductus venoso: su función y significado clínico

En condiciones normales, el flujo dentro del ductus venoso es continuo y dirigido hacia el corazón fetal durante todo el ciclo cardíaco. En el gráfico espectral, este flujo se representa con tres ondas principales: S, D y a.

  • La onda S refleja la contracción ventricular.

  • La onda D corresponde al llenado pasivo del ventrículo.

  • La onda a representa la contracción auricular.

Si esta última onda (onda a) se observa ausente o invertida, puede ser un signo temprano de sobrecarga cardíaca, hipoxia, o anomalías estructurales del corazón. Por ello, la evaluación del ductus venoso tiene un valor predictivo crucial en el diagnóstico prenatal avanzado.

Importancia en el primer trimestre

En el primer trimestre del embarazo, el estudio del ductus venoso adquiere especial relevancia, pues puede detectar alteraciones cromosómicas como el síndrome de Down, Turner o Edwards. Según la Fetal Medicine Foundation, la combinación de la translucencia nucal con la evaluación Doppler del ductus venoso mejora notablemente la detección temprana de anomalías fetales, permitiendo intervenciones oportunas y seguimiento especializado.

Arteria umbilical: indicador del intercambio placentario

La arteria umbilical transporta la sangre desoxigenada del feto hacia la placenta para su oxigenación. Mediante el Doppler, se pueden analizar los patrones de flujo en esta arteria para conocer el grado de resistencia placentaria.

Un flujo normal se caracteriza por una buena perfusión diastólica, lo que indica que la placenta permite el paso adecuado de sangre. En cambio, cuando existe aumento de la resistencia placentaria, el flujo diastólico disminuye o incluso se invierte, lo cual es un signo de insuficiencia placentaria y posible hipoxia fetal.

Índices de resistencia y pulsatilidad

Para cuantificar estos cambios, el especialista utiliza el Índice de Resistencia (IR) y el Índice de Pulsatilidad (IP).

  • IR = (Velocidad sistólica – Velocidad diastólica) / Velocidad sistólica.

  • IP = (Velocidad sistólica – Velocidad diastólica) / Velocidad media.

Valores elevados en cualquiera de estos índices indican que la placenta ofrece mayor oposición al flujo sanguíneo, lo que podría comprometer el desarrollo fetal.

Correlación clínica con patologías del embarazo

Un aumento sostenido del IR o IP suele asociarse con preeclampsia, hipertensión gestacional, diabetes y restricción del crecimiento intrauterino. En estos casos, el Doppler de la arteria umbilical se convierte en una herramienta indispensable para decidir si el embarazo puede continuar bajo vigilancia o si es necesario intervenir para proteger la vida fetal.

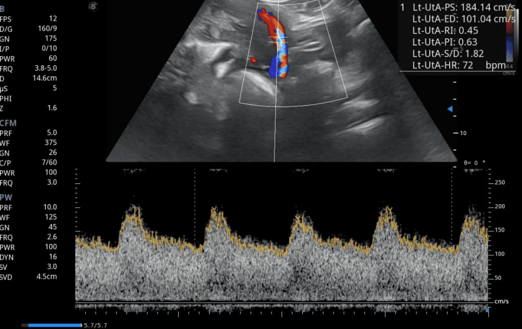
Aplicaciones clínicas del Doppler en obstetricia

Ecografía Doppler flujo uterino embarazo

El Doppler no solo tiene valor diagnóstico, sino también predictivo y preventivo. Su uso rutinario en embarazos de riesgo ha demostrado reducir la mortalidad perinatal, mejorar la toma de decisiones médicas y optimizar los resultados del parto.

Evaluación del bienestar fetal

El Doppler permite identificar signos tempranos de sufrimiento fetal, incluso antes de que se manifiesten síntomas clínicos. Al detectar variaciones en el flujo sanguíneo, los especialistas pueden ajustar tratamientos, modificar el seguimiento prenatal o planificar un parto anticipado si es necesario.

En Preventive Health, la evaluación Doppler se integra dentro de los controles de rutina en embarazos con factores de riesgo, como antecedentes de hipertensión, diabetes, malformaciones fetales o partos prematuros previos.

Diagnóstico de la restricción del crecimiento intrauterino (RCIU)

La RCIU se presenta cuando el feto no crece al ritmo esperado. Mediante el Doppler de la arteria umbilical y el ductus venoso, se puede determinar si la causa es una disfunción placentaria o un trastorno genético.

Este diagnóstico precoz permite a los obstetras tomar decisiones clínicas más seguras, adaptando la frecuencia de controles, el uso de medicamentos o el momento del parto.

Detección de insuficiencia placentaria y riesgo de hipoxia

Cuando la placenta no cumple su función adecuadamente, el feto puede sufrir hipoxia crónica, una falta de oxígeno que afecta su desarrollo neurológico y físico. El Doppler revela estos cambios mediante alteraciones en los índices de resistencia y en los patrones de flujo, permitiendo actuar antes de que la situación sea irreversible.

Procedimiento y seguridad del estudio Doppler fetal

Doctora realizando una ecografía con monitor

El examen Doppler se efectúa con el mismo equipo utilizado para las ecografías obstétricas convencionales. La paciente se recuesta sobre la camilla y el especialista aplica un gel conductor sobre el abdomen para mejorar la transmisión de las ondas sonoras. El transductor se desliza suavemente por distintas zonas, capturando las señales de los vasos fetales y placentarios.

El procedimiento dura entre 20 y 40 minutos, es indoloro y no invasivo. Los resultados se interpretan de inmediato y se registran en gráficos espectrales que el médico analiza detalladamente.

Preparación de la paciente y parámetros de seguridad

No es necesario acudir en ayunas ni suspender medicamentos. Las ondas ultrasónicas utilizadas son de baja intensidad y sin radiación, por lo que no representan ningún riesgo para la madre ni para el feto.

Organismos como la Organización Mundial de la Salud (OMS) y la Fetal Medicine Foundation (FMF) recomiendan que el Doppler fetal sea realizado exclusivamente por profesionales capacitados y con fines diagnósticos, garantizando la máxima seguridad para ambos.

Beneficios de la ecografía Doppler del ductus venoso y arteria umbilical en la práctica clínica

Detección temprana de problemas de salud fetal con ecografía Doppler
  • Permite la detección precoz de anomalías fetales.

  • Contribuye a reducir la mortalidad perinatal.

  • Mejora la toma de decisiones médicas.

  • Facilita la vigilancia de embarazos de alto riesgo.

  • Optimiza el momento del parto y evita intervenciones innecesarias.

De acuerdo con estudios de la Sociedad Española de Ginecología y Obstetricia (SEGO), el uso sistemático del Doppler obstétrico en embarazos complicados disminuye significativamente la tasa de eventos adversos y mejora los resultados neonatales.

Nuestro compromiso con la medicina fetal avanzada

En Preventive Health, el diagnóstico prenatal se realiza bajo los más altos estándares internacionales. Su equipo de especialistas en ecografía obstétrica avanzada y medicina fetal aplica protocolos de la FMF y la OMS para ofrecer evaluaciones precisas y seguras.

Cada estudio Doppler se interpreta de manera personalizada, considerando el historial clínico de la paciente, su edad gestacional y los factores de riesgo presentes. El objetivo es brindar tranquilidad, prevención y acompañamiento integral a las futuras madres.

En Preventive Health puedes agendar tu evaluación Doppler y control de medicina fetal con nuestro equipo acreditado. Esta semana hay cupos limitados para mañana y tarde. Agenda ahora y asegura una atención precisa, humana y a tiempo para ti y tu bebé.